Dentist Accepting Emergency Patients in Sarasota, FL
When a dental emergency happens, you want help fast, and you want to know that you’re in good hands. Whether it’s a chipped tooth, sudden pain, or a problem that can’t wait, having access to a dentist accepting emergency patients can bring immediate relief and peace of mind. Getting care quickly can protect your health, …
Read More
Dentist Accepting New Patients in Sarasota, FL
Finding the right dental office is one of the most important steps you can take for your health and confidence. When you know you find a good dentist accepting new patients, it gives you the opportunity to start fresh, build healthy habits, and feel proud of your smile for years to come. Why people look …
Read More
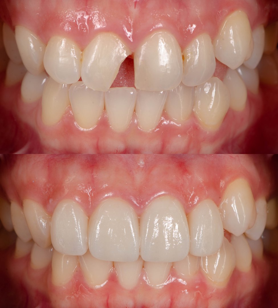
Broken Tooth Treatment in Sarasota, FL
A broken tooth can be a shock, but it doesn’t have to ruin your day. Getting prompt and professional care helps restore not only the function of your tooth but also your confidence in your smile. With the right dental team, you’ll feel supported and informed every step of the way. Common reasons people seek …
Read More
Dental Checkup And Cleaning in Sarasota, FL
A healthy, confident smile starts with regular care. When you make dental checkups and cleanings part of your routine, you’re not just taking care of your teeth—you’re investing in how you feel when you smile, speak, and share everyday moments. A clean, bright smile helps you feel fresh, confident, and proud of the way you …
Read More
Tooth Pain Treatment Near Me in Sarasota, FL
A vibrant, pain-free smile is the cornerstone of confidence and well-being. When tooth pain disrupts this, it impacts more than just your oral health; it affects your daily life and overall happiness. Addressing tooth pain promptly and effectively is essential for restoring your comfort and preserving the beauty of your smile. A skilled dentist can …
Read More
Teeth Cleaning & Exam Near Me in Sarasota, FL
Keeping your smile healthy and bright starts with regular teeth cleanings and exams close to home. A nearby dental office makes it simple to stay on schedule, catch small issues early, and keep your teeth feeling fresh and looking their best. Preventive care is one of the easiest ways to protect your smile for the …
Read More
Emergency Dental Appointments Near Me in Sarasota, FL
Emergency Dental Appointments Near Me When you’re in pain or facing a dental emergency, your comfort matters more than ever. Whether it’s unexpected discomfort or a sudden injury, it helps to know there’s a dental practice nearby that is ready to welcome you with comprehensive and compassionate care. From the moment you call to the …
Read More
Teeth Cleaning & Exam in Sarasota, FL
Teeth Cleaning & Exam A bright, healthy smile starts with regular teeth cleanings and exams, helping you maintain a confident, radiant look for years to come. These routine visits are essential for preventing dental problems before they start, ensuring that your teeth and gums stay in top shape. Whether it’s been a while since your …
Read More
Best Emergency Dentist Near Me in Sarasota, FL
Best Emergency Dentist Near Me When something unexpected happens to your smile, finding the best emergency dentist near you can make all the difference. A dental emergency doesn’t just affect your teeth—it can impact your comfort, your confidence, and your ability to go about your day. Quick, reliable care helps restore your smile and your …
Read More
Best Dentist Near Me in Sarasota, FL
Your smile matters every day. A bright, confident smile can change the way you feel about yourself and how others see you. It’s often the first thing people notice—and the one thing they remember. Feeling good about your smile makes a difference, and having a dentist you trust nearby can help you maintain that confidence …
Read More